Clinique Dentaire LUGARI
GARLABAN
ACCUEIL
LE CABINET
L'EQUIPE
PLAN D'ACCES
URGENCES
VIDÉOS
FICHES CONSEILS
QUESTIONNAIRE PRE-RDV
ESPACE ENFANT
CONTACT
PRISE DE RDV
2260 route de Gemenos
13400
AUBAGNE
+33 4 42 04 44 44
Clinique Dentaire LUGARI
GARLABAN
ACCUEIL
LE CABINET
L'EQUIPE
PLAN D'ACCES
URGENCES
VIDÉOS
FICHES CONSEILS
QUESTIONNAIRE PRE-RDV
ESPACE ENFANT
CONTACT
PRISE DE RDV
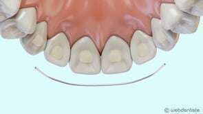
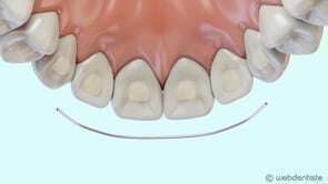
Fil de contention
Vidéos 3D
Partager
Twitter
Partager
Partager
Envoyer
Copier
Clinique Dentaire LUGARI GARLABAN
2260 route de Gemenos
13400
AUBAGNE
+33 4 42 04 44 44
Conditions Générales Utilisation
Mentions légales
Politique de confidentialité et charte cookie
Charte déontologique
Ordre national
Annuaires chirurgiens dentistes
LA POSE D'IMPLANTS DENTAIRES
L'ANALYSE PRÉ-IMPLANTAIRE
LA DENTISTERIE ADHÉSIVE
GREFFE GINGIVALE À VISÉE ESTHÉTIQUE
LES IMPLANTS : QUESTIONS / RÉPONSES
LE TRAITEMENT DES PARODONTITES (DÉCHAUSSEMENT DES DENTS)
Création par
Connexion